銀歯を白いセラミックの歯にしませんか?
静岡県富士市の歯医者「みうら歯科クリニック」では、歯やお口の機能を向上させるだけでなく、見た目(審美性)も向上させる治療を行っています。それが、審美歯科治療です。
銀歯を白い歯に変えるメリット

保険適用の虫歯治療で使われる銀歯は見た目に美しいものではありませんが、食事を摂るという意味では十分な機能性を持っています。しかしその反面、経年劣化で金属イオンが溶け出し、金属アレルギーや歯ぐきへの着色といった問題を引き起こすことがあります。
当院では、セラミック(陶材)を使ったメタルフリー治療をおすすめしています。全額自己負担の自費診療となりますが、長期的に見てメリットが多い治療ため、近年では選ばれる方が増えています。関心がある方は、一度ご相談ください。
当院の取り扱い素材紹介
歯科技工物には、インレー(部分的な詰め物)とクラウン(歯の全体を覆う被せ物・差し歯)があります。いずれも適切な素材を使うことで、保険診療の素材よりも長く快適に、安心して使うことができます。当院では、患者さまのお口の状態やライフスタイルに合わせたご提案をいたします。
インレー
| セラミックインレー | メリット | デメリット | |
|---|---|---|---|
| 素材のすべてが セラミック製のもの |
|
|
|
![]() |
価格(税抜) | 特徴 | |
| 30,000円~ | 審美性 | ★★★ | |
| 安全性 | ★★★ | ||
| 耐久性 | ★★★ | ||
| ゴールドインレー | メリット | デメリット | |
|---|---|---|---|
| 貴金属である 「金」を使ったインレー |
|
|
|
![]() |
価格(税抜) | 特徴 | |
| 30,000円~+金属代 | 審美性 | ★☆☆ | |
| 安全性 | ★★★ | ||
| 耐久性 | ★★★ | ||
| 金銀パラジウムインレー | メリット | デメリット | |
|---|---|---|---|
| 保険適用の銀歯 |
|
|
|
![]() |
価格(税抜) | 特徴 | |
| 保険適用 | 審美性 | ☆☆☆ | |
| 安全性 | ★☆☆ | ||
| 耐久性 | ★☆☆ | ||
【インレーの注意点】
形成・印象料金としてそれぞれ5,000円(税抜)がかかります。また、自費素材の本体保証は基本的に3年とさせていただいており、最低6ヶ月ごとの定期検診の受診が適用条件となります。保証内容は、6ヶ月ごとに15%ずつ減額されますのでご了承ください。
クラウン
| オールセラミッククラウン | メリット | デメリット | |
|---|---|---|---|
| 素材のすべてにセラミックが使われている被せ物・差し歯 |
|
|
|
![]() |
価格(税抜) | 特徴 | |
| 100,000円~ | 審美性 | ★★★★ | |
| 安全性 | ★★★ | ||
| 耐久性 | ★★★ | ||
| メタルボンド | メリット | デメリット | |
|---|---|---|---|
| 金属のフレームにセラミックを焼きつけた被せ物・差し歯 |
|
|
|
![]() |
価格(税抜) | 特徴 | |
| 70,000円~ | 審美性 | ★★★ | |
| 安全性 | ★★☆ | ||
| 耐久性 | ★★★ | ||
| ハイブリッドセラミッククラウン | メリット | デメリット | |
|---|---|---|---|
| ハイブリッドセラミックでできた被せ物・差し歯 |
|
|
|
![]() |
価格(税抜) | 特徴 | |
| 前装冠(メタルあり):55,000円~ ジャケット冠(メタルなし):50,000円~ |
審美性 | ★★☆ | |
| 安全性 | ★★☆ | ||
| 耐久性 | ★★ | ||
| ゴールドクラウン | メリット | デメリット | |
|---|---|---|---|
| 貴金属である 「金」を使った被せ物・差し歯 |
|
|
|
![]() |
価格(税抜) | 特徴 | |
| 50,000円~+金属代 | 審美性 | ★☆☆ | |
| 安全性 | ![]() |
||
| 耐久性 | ★★★ | ||
| 硬質レジン前装冠 | メリット | デメリット | |
|---|---|---|---|
| 保険適用の前歯用差し歯 |
|
|
|
![]() |
価格(税抜) | 特徴 | |
| 3割負担時:約5,000円 | 審美性 | ★☆☆ | |
| 安全性 | ★☆☆ | ||
| 耐久性 | ★☆☆ | ||
| 金銀パラジウム冠 | メリット | デメリット | |
|---|---|---|---|
| 保険適用の奥歯用銀歯 |
|
|
|
![]() |
価格(税抜) | 特徴 | |
| 3割負担時:約3,000円 | 審美性 | ☆☆☆ | |
| 安全性 | ★☆☆ | ||
| 耐久性 | ★☆☆ | ||
【クラウンの注意点】
価格は1本あたりで、装着料も含みます。別途形成・印象料金として、1本あたり10,000円(税抜)がかかります。また、自費素材の本体保証は基本的に5年とさせていただいており、最低6ヶ月ごとの定期検診の受診が適用条件となります。保証内容は6ヶ月ごとに10%ずつ減額されますのでご了承ください。オールセラミックとハイブリッドセラミックは透過性が高いため、生活歯もしくはファイバーコア支台歯のみを対象としています。
当院のメタルフリー治療への取り組み

金属製のアクセサリーなどが皮膚に触れることでかぶれや炎症が起こる金属アレルギーですが、保険適用の歯科治療で使われる金銀パラジウム合金(いわゆる銀歯)にも金属アレルギーのリスクがあります。当院では、こういった心配がある方には金属を使用しないメタルフリー素材(主にセラミック)のご提案をしています。
長持ちの秘訣は定期検診

せっかく高価な審美歯科素材を使っても、お口のメンテナンスを怠ると、歯を失ってしまったり、再治療が必要になったりします。素材そのものは人工物ですが、多少の劣化はあれ、長期的に維持することは可能です。その美しい詰め物・被せ物を長持ちさせるためには、他の天然歯や歯ぐきなどお口の健康を維持することが何より大切です。当院では、6ヶ月毎の定期検診を補償の条件とさせていただいております。ぜひご活用ください。
症例紹介
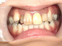
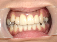
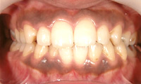
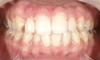
40代女性:前歯をキレイにしたい
治療前は上の前歯4本に問題ありました。まず、右側2本 保険のレジン前装冠が経年変化で変色し、形態不良。左側2本は、神経がないため歯そのものの色が変色。左側前から2番目は後方にズレがありました。治療後は、上の前歯4本ともセラミック前装冠で処置を行い位置、形態も修正しました。この間の治療期間約3カ月です。(支台歯の治療も含まれる)
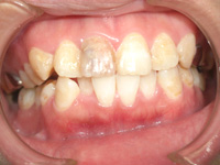
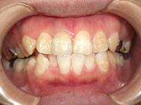
20代女性:前歯の色が気になる
治療前は左上の前歯の神経がないため変色。治療後はハイブリッドセラミッククラウンで治療し、隣在歯の独特のムラも再現し、より自然な印象に。
黄ばんだ歯を削らずに白い歯に~ホワイトニング~
静岡県富士市の歯医者「みうら歯科クリニック」では、健康な歯を削らずに白くするホワイトニングにも対応しています。ホワイトニングにご興味がある方は、お気軽にご相談ください。
天然の歯が変色する原因

人の歯はさまざまな原因で黄ばんできます。主な原因は、色の濃い飲食物の摂取による着色汚れ。コーヒーや赤ワイン、紅茶、カレーなどの色が少しずつ付着していきます。タバコのヤニも黄ばみの原因です。虫歯になると黒ずんで見えます。加齢でエナメル質が薄くなると、黄色味を帯びた象牙質の色が透けて見えるようになります。また、妊娠中の母親がテトラサイクリンという抗生物質を服用すると、胎児の歯にくすみや黄ばみが起こることもあります。
「クリーニング」と「ホワイトニング」の違い

クリーニングでもホワイトニングでも歯を白くすることはできますが、両者はまったく別物です。クリーニングは、歯の表面に付着した汚れやプラークを落とすことで歯を自然な白さに戻すことができます。「みがき落とす」という物理的処置によって、歯の外側の汚れを落とす処置といえます。
これに対し、ホワイトニングでは歯の表面に専用の漂白剤を浸透させて歯の内側の色素を分解し、歯を白くします。軽度の着色汚れはクリーニングでも解消できますが、ホワイトニングほど白く輝く歯を手に入れることはできません。
患者さまに合ったホワイトニングメニューをご提案
ホワイトニングには、歯科医院で受けられるオフィスホワイトニングと、ご自宅で取り組んでいただくホームホワイトニングがあります。当院では、患者さまご自身で行っていただくホームホワイトニングをご提案しております。
当院のホワイトニングメニュー
| オフィスホワイトニング | ホームホワイトニング | |
|---|---|---|
![]() |
![]() |
|
| 価格(税抜) | ※現在取り扱っておりません | 30,000円(上下顎セット:4週分) |
| 特徴 | 歯に比較的高濃度の薬剤を塗布し、特殊な光を照射して歯の色素を分解します。 | 専用マウスピースに比較的低濃度の薬剤を注入し、歯に装着して浸透させ、徐々に色素を分解します。 |
| メリット |
|
|
| デメリット |
|
|
歯ぐきをきれいなピンク色に~レーザー治療~
レーザー照射により、歯肉に沈着したメラニン色素を除去する処置です。施術後1~2週間で歯ぐきの黒ずみが解消され、通常1~3回の施術で健康的なピンク色になります(個人差有)。当院では、Nd:YAGレーザーを使用しています。
| 歯肉メラニン除去 | 片顎 1回 5,000円 |
※価格は税別です。






















